もう再治療は終わりにしませんか?
“精密根管治療”で抜歯・インプラントを回避
東京科学大学(旧東京医科歯科大学)出身
エキスパート達による安心・安全・精密な治療
もう再治療は終わりにしませんか?
“精密根管治療”で抜歯・インプラントを回避
東京科学大学(旧東京医科歯科大学)出身
エキスパート達による安心・安全・精密な治療

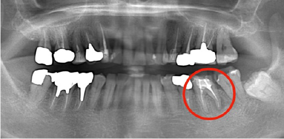
こんなことはありませんでしたか?
『神経とります』、『根の治療します』と言われ、
詳しく説明を受けてから治療したことはありますか?
もしもないとしたら、それは治っていないかもしれません。
歯の根の中で再感染していて、抜歯になる可能性があります。
ひとつでもあてはまったら、ご相談ください。
Anything like this ever happened?

「神経を取る」
「根の治療をする」
↓
根管治療と言います。
根の中まで虫歯に侵された歯の内部を綺麗にして、抜歯を回避する治療です
神経が虫歯に侵された
根の先が膿んでしまった

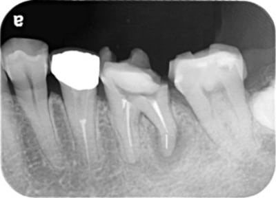
感染した細い根管を洗浄しやすくするため、形を壊さないように削って広げます。
天然の根管は細く複雑で、そのままでは洗浄液が行き届きません。
以前に根管治療を受けた歯は根の中の詰め物を取り除き、洗浄できる状態にする必要があります。



ドリルのような器具で、細い根管を削って広げます

根管内を洗浄し、無菌に近い状態にします。
次亜塩素酸などの強力な洗浄液で細菌や歯髄の残りカスを溶かし、汚染物を除去します。
適切に洗浄できれば、根管は無菌に近い空の状態になります。



感染物質やファイルなどで削った感染した歯質が根管のなかに残らないよう、薬剤で洗浄します。
細菌が少しでも残っていると再発リスクが高まるので、慎重に処置します。

再感染を防ぐため、根管内に詰めものを緊密に詰めて封鎖します。
空洞のままだと細菌が繁殖するため、根管の入り口から先まで密封します。
細菌の栄養源が絶たれ、膿が消えて骨が再生し、歯を元のように使い続けることができます。

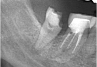
感染を防ぐため、根管内に詰めものを
緊密に詰めて封鎖します

根管治療後は上を封鎖するために
被せもの治療をして完了します

事実日本の根管治療は
も再発
しています
根管治療に時間をかけると赤字になってしまう日本では、日常的に短い時間で根管治療が行われがちです。
しかしその根管治療、一歩間違えると抜歯になってしまう治療なのです。
初回の根管治療がうまくいかず再発すると、抜歯に大きく近づきます。
一回手をつけてしまうと一生元に戻すことはできません。
ミスが許されない治療なので、本来十分な時間を確保して精密に緻密に行われないといけません。
もちろん根管治療には、専門的な知識・技術が必要です。
そんななか日本では、ほとんどの歯科医師が日常的に行い、短時間でベルトコンベア式に行われることが多いため再発がとても多いのです。
先進国を中心とした諸外国のなかで著しく低水準であることがわかります。根管治療を行えば高確率で失敗することを意味しています。
日本の保険診療の根管治療は診療報酬が極めて低く、時間をかけると赤字になるため、質の高い治療が難しくなります。
治療に30分かけると1000円赤字が出ると言われているほどです。結果として、短時間で複数の患者さんを並列で治療する必要があり、一人の患者さんに時間をかけることができません。
手早く行わなければならないので、治療工程が簡略化され不潔な状態で行われがちです。
一回が短時間なので、何度も通院が必要になり、治療中の仮の蓋の期間が長くなり、さらに再感染のリスクが高まります。
日本では、初回の根管治療よりも、2回目以降のやりなおしの根管治療の方が多く行われています。
初回より2回目のほうが成功率が下がることがわかっているので、治療をすればするほど抜歯のリスクが上がってしまいます。
また、どれだけ保険診療が行われたかを示す社会保険の件数においても、やり直しを含む感染根管治療の方が、初回治療より1.5倍も多いことがわかっています。
自分たちの行った根管治療をひたすらやりなおして、抜歯に近づけてしまっているのです。





『精密根管治療』とは、成功率を高め、歯を抜歯から救う根管治療です。
専門の歯科医師による精密根管治療の成功率は90-94%と言われています
『精密根管治療』は
●専門的な知識・技術・経験を持つ歯科医師が
●最小限の通院回数で
●科学的根拠に基づいた治療工程で
●マイクロスコープを使い、様々な機材・薬剤を駆使して根管を徹底的に洗浄し、再発を防ぐ
歯の延命治療です。
“精密根管治療”は先進国をはじめ世界では一般的に行われています。
根管治療は世界的に見ても難易度が非常に高く、専門性の高い治療と考えられています。
例えばアメリカでは、根管治療専門の歯科医師が治療することが一般的です。
“精密根管治療”は、新しい特殊な治療をするわけでなく、治療の仕方が確立されている歯を守る治療法です。


再発させず成功へ導く





治療において最も重要なことは、設備や道具や薬剤ではなく、治療する歯科医師に知識・技術・経験値があることです。
同じ機械・薬剤・治療手順で行ったとしても、歯科医師によって結果はまったく異なるものです。
治療の質だけではありません。実は、治療の前の診断や戦略からそもそも異なります。
正しい診断や戦略があってはじめて治癒へ導く精密な根管治療が可能になります。





治療回数はたくさんかければいいというわけではありません。
実は、回数が多くなり治療期間が長くなると、それだけで感染のリスクが高まります。
仮の蓋の状態が長く続くと、仮の蓋は歯に密着していないので、隙間から唾液の細菌が容易に入り込んで、
治療期間中にさらに感染してしまいます。
当院では一回の治療時間を長く確保し、通常1回〜2回程度で終わることが多いです。





当院では、神経のあるなしに関わらず、すべての根管治療において麻酔を行いながら治療しています。
治療中に痛みを感じさせながら治療を続行してしまうと、被せた後も痛みが残ってしまうことがあると言われています。
痛みをまったく感じさせず、眠っていただいているうちに終わっていることが当院の理想です。
成功へ導くために完全無痛治療にこだわっています。





治療中に歯の中に唾液が入ってしまったり、滅菌・消毒されてない器具で歯の中を触ったりすると、
治療しているにも関わらず、逆に病気を作り出しています。
治療の最初から最後まで細菌が入らない環境にしてはじめて精密な治療が意味あるものになります。
当院ではラバーダム使用など、エビデンスに基づいた万全の細菌感染対策を行って治療を行っております。





歯の中がクリアに見えるハイエンドな顕微鏡や、正しく診断できる高解像なCT、
根管の中を緊密に封鎖する機械など、成功へ導くためのあらゆる設備・機械を揃えております。
院内で常にアップデートし、エビデンスに基づく常に最新の設備を取り入れています。





根管治療に使われる一部の薬剤には、発癌性があったり、歯肉や歯を支える骨が壊死するリスクがあったり、
アナフィラキシーショックの原因になるものもあります。
当院では、エビデンスに基づく生体親和性に優れた薬剤のみを使っています。
例えば、根管治療の最後に根管のなかを封鎖する詰め物をしますが、バイオセラミックを詰めて治癒を促します。





実は、根管治療後の被せもの治療が歯と接着していないと、根管治療したところがまた細菌感染してしまい、
根管治療が無駄になってしまいます。根管治療後の上の構造が接着していないと、
唾液の中の細菌が隙間から侵入して、歯根の先まで感染してしまいます。
精密根管治療はそれだけで完結するものではなく、正しい“接着”修復治療を受けて初めて完結するものなのです。


近所のかかりつけの歯科医院で、「再治療できないから奥歯を抜くしかない」と言われた。
あきらめきれず、HPで探して当院へ来院。






外すと中がドロドロに虫歯に感染していました。



折れて残っていた機具を除去


根管の中を洗浄し、無菌に近い空の状態にした。
根管の中を封鎖し終了。


治療後病気がなくなり骨が再生した

昔から噛んだ時に違和感があった。「噛み合わせが強いことが原因だろう」と言われ、削って噛み合わせの調整を何年も受けていた。詰め物が取れたことをきっかけに調べて来院。





歯の中を触ると膿がかなりでてきました。

根管の中が無菌に近い状態になるように洗浄を繰り返します。

根管の中を封鎖し、根管治療終了


根管治療が終わったところが、また隙間から感染しないように、
上から被せを精密に接着させ、密封。

治療後病気がなくなり骨が再生した

何度も再治療して抜歯になる前に、
悩まずご相談ください。



